
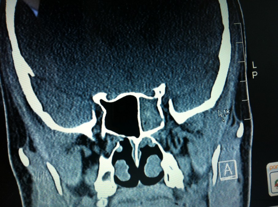
The right side of the pic is actually my left side. You can see how the big honkin’ sinus on my right is a nice black hole, which it should be. The left one is completely blocked. Here’s another shot:

Again, you can see the left sinus is totally blocked. That would explain most if not all of the pain I was experiencing! Hopefully the anti-biotics he put me on will clear it up quickly.
Back to the Britain trip!
We left Bath and headed toward Salisbury Plain to see Stonehenge. Stunning scenery, as usual:

Jan loves water pics, so I tried to take them whenever possible:


I had to find something that represented each one of my kids during the trip. Here’s the one I found for Pinky:

We stopped to visit the Norman Cathedral:


As was every other cathedral we visited, this one was amazing.
Here are a few pics I took on the way back to the bus:



I think I embarrassed Jan when I asked her to take a picture of me, posing up against a billboard:

Back on the bus, heading for Stonehenge:




We had a bit of delay on the road, due to this accident:



We had to wait for the oncoming traffic to clear before heading under the centre of this bridge:

I forget what our tour guide said this represented, but rather neat nonetheless:

Next stop – Stonehenge!
Today’s symptoms: Still a very bad headache and eye pain. Feeling a tad bit better energy-wise today though.
Posted by Lizzy McFly at 11/20/2011 10:36 AM
